高井歯科医院Blog
| 2025 | 11月
継続は力ですね♪
(2025年11月3日 6:18 PM更新)
こんにちは、高井歯科医院です。
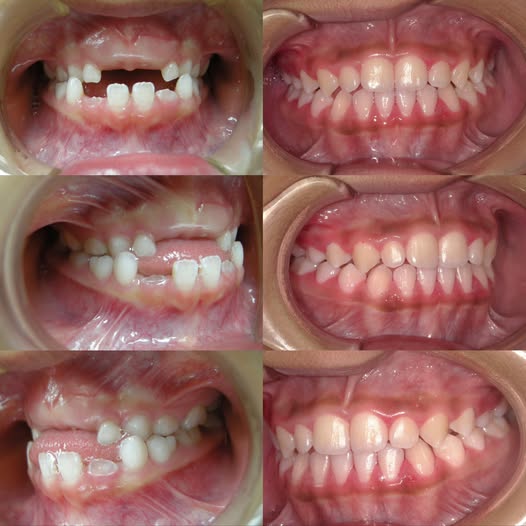
今回紹介するのは当院で治療と経過を見守り続けている患者さんの写真です。

※写真は同一女性の口腔内写真。左列は6才5か月時撮影、右列は15才11か月時撮影
6才から15才まで、9年間にわたって治療を続けてくれた女の子の症例です。
初診時は下あごが前に出ていましたが、成長に合わせて「痛くない取り外し式の装置」で少しずつ誘導していきました。
その結果、歯を抜かず、ワイヤー矯正もせずに自然で美しい歯並びに整いました。
月1回のメインの治療は2年ほどで終わりますが、その後も続けて装置を使い続け、病院で定期的にチェックを受けることがこの治療法の秘訣なんです。
このように長期で正しい成長をうながすと、再び歯並びが悪くなることは非常に少ないです。
時間をかけて正しく導けば、歯は自分の力で整っていきます。痛みが少なく、無理のない方法を続けられたことが成功の秘訣です。
まさに「継続は力なり」。長い間頑張ってくれたお子さんとご家族に、心から拍手を送りたいと思います。
高井歯科医院では、「痛くない・抜かない矯正治療」でお子さんの成長をサポートしています。お気軽にご相談ください。
※ご両親の許可を得てHPに掲載しています。
Blogメニュー
▶Blogトップへ戻る







